1. 최근 너무 오래 지속되는 감기 증상, 그리고 폐렴
2019년 11월 전 세계를 강타하였던 코로나, 우리나라 국민들 중 최근까지 코로나 증상을 겪어 왔지요. 그런데 최근에 독감이 유행하게 되면서 감기 증상이 오래 지속되면서 폐렴 증상을 동반하여 진행되고 있음을 주변에서 경험하고 있는데요, 더욱이 몇몇 전문가들의 설명에 따르면 코로나를 경험하였던 환자들이 최근과 같이 오랜 기간의 감기증상에 주의하여야 하며 특히 폐렴으로 진행되는 상황 또한 절대 가볍게 봐서는 안된다는 말씀들을 하십니다. 그래서 남녀노소, 특히 어린이와 고령자들에게 치명적일 수 있는 폐렴에 대해 알아보고자 합니다.

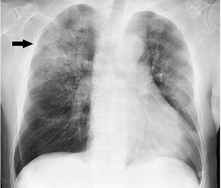
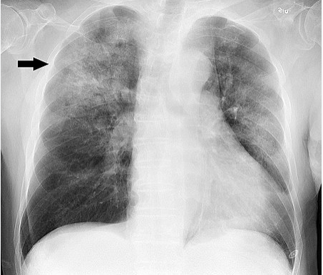
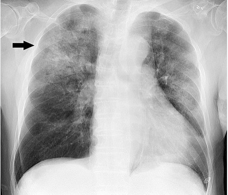
2. 폐렴(Pneumonia)은
- 감염성 질환의 한 종류인 폐렴은 폐에서 발생하는 것으로 주요한 원인으로는 미생물에 의한 감염으로 발생하거나 세균이나 바이러스에 의한 감염도 폐렴의 원인이 됩니다.
-폐렴은 크게 신체적 증상과 호흡곤란, 호흡기 및 신체 기능 심각한 오염을 유발할 수 있는 원인으로 분류됩니다.
- 일반적인 폐렴 증상은 발열, 고열, 기침(가래가 동반된 습기가 있는 기침), 흉통, 호흡곤란, 혼돈, 어지러움, 무기력, 저작된 기력 등입니다. 각각의 원인별로 폐렴의 경과 및 치료가 달라질 수 있으므로 증상이 나타났다면 담당 의료진에게 상담이 필요합니다.
3. 폐렴 증상과 치료
1) 발열과 기침
체온이 38도 이상 상승하며 폐렴을 유발하는 각종 균 등이 폐에 침투하게 되면 가래를 동반한 기침이 발생합니다.
2) 호흡곤란과 가슴 통증
호흡기계 질환이므로, 호흡기 부위에 염증이 발생할 경우 호흡이 곤란해질 수 있으며 폐렴으로 인하여 감염성 물질 내지 액체가 축적될 때 가슴 통증도 유발하게 됩니다.
3) 피로감, 설사
공격적인 감염이라 할 수 있는 폐렴은 발열, 호흡곤란, 기침 등의 증상으로 인해 체력이 저하되어 피로감을 느끼게 되고, 변비 증상이 있으면서도 설사를 하는 증상을 보입니다.
4) 그밖에
불편한 증상이나 감기 증상이 지속되어도 보통의 감기와 비슷할 수 있어 오진을 받을 수 도 있는 폐렴은, 일반적인 감기보다 다양한 증상이 나타거나 만약 특별한 증상이 없이 기침이 2주 이상 지속되어지는 경우라면 반드시 병원에 내원하여 적절한 조치를 취하는 것이 필요합니다.
5) 폐렴 치료
심각한 페렴 구균 감염증을 줄여주는 효과가 있는 것으로 독감 예방 백신과 페렴구균 예방백신을 접종하는 것이 도움이 됩니다.
4. 폐렴 치료에 도움이 되는 음식
폐렴 치료에는 약물 치료와 함께 적절한 영양소가 들어있는 다음과 같은 음식을 섭취하는 것도 폐렴 치료에 도움이 되니 참고 하시길 바랍니다.
1)물
폐렴은 발열 및 체액 손실을 유발하므로, 평소보다 많은 양의 수분 섭취가 매우 중요합니다.
2) 탄수화물과 단백질
신진 대사를 촉진하기 위하여 에너지 공급을 도와줄 수 있는 탄수화물과 닭고기, 생선, 콩, 두부의 섭취를 통하여 건강한 근육을 유지하도록 단백질 섭취가 필요하며
3) 비타민 A와 C
시금치, 당근 등에 풍부한 비타민 A를 섭취하여 호흡 기능과 저항력을 강화시키고, 구운 고구마, 오렌지, 바나나, 키위 등에 풍부한 비타민 C를 섭취하면 면역 체계를 강화시키는데 도움이 됩니다.
5. 글을 정리하면서
이상과 같이 폐렴에 대한 원인부터 치료에 도움이 되는 음식까지 알아보았습니다. 전 세계가 형체도 없었던 코로나로 인해 고통을 받았고 이 질병의 진행이 되는 기간 동안 많은 생명을 앗아갔었던 그 때를 아직 잊을 수가 없습니다.
그러나 이제 조금씩 생기를 찾아가는 우리들에게 일반 감기라고하기에는 장기간 지속되는 감기 증세와 동반된 폐렴이 또 우리의 걱정을 안겨다 주고 있습니다.
의료진과의 치료와 더불어 이러한 증상을 완화하는 데 도움이 되는 음식들을 통하여 빠른 시일 내에 건강을 회복하시길 바라는 마음에서 이 포스팅을 올립니다.
여러분, 건강하세요!!!
'Healthy Life' 카테고리의 다른 글
| < 제로 슈거 콜라와 아스파탐(Aspartame) > (0) | 2023.07.12 |
|---|---|
| < 폐암 치료제 렉라자, 국내 31번째 신약, 무상공급 > (0) | 2023.07.11 |
| < 레켐비, 알츠하이머 치매 신약 FDA 승인> (0) | 2023.07.11 |
| < 치매 사회에서의 진정한 생존법 > (0) | 2023.07.10 |
| < 모기향 제조 성분, ‘알레트린’, 안전성 재검토> (0) | 2023.07.10 |